Gum Recession Treatment
in Manhattan Beach CA
If you’re experiencing gum recession in Manhattan Beach, Precision Periodontal and Implant Center offers advanced, customized solutions to restore your oral health and protect your smile. Led by Dr. Dmitriy Ivanov, a board-certified periodontist, our practice specializes in diagnosing and treating gum recession to deliver lasting, natural-looking results.
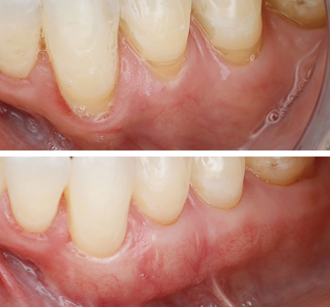
Gum recession exposes tooth roots, causing sensitivity, cosmetic concerns, and increased risk of decay or tooth loss. At Precision Periodontal and Implant Center, we provide targeted treatments designed to halt progression and rebuild lost gum tissue for improved health and aesthetics.
Personalized Gum Recession Treatment in Manhattan Beach
Our treatment options include:
- Gum Grafting: Dr. Ivanov expertly transplants healthy tissue to cover exposed roots, reinforce gum structure, and restore a natural gum line.
- Pinhole Surgical Technique: A minimally invasive procedure that adjusts existing gum tissue without incisions or sutures for faster recovery.
- Palatal and Non-Palatal Graft Options: Dr. Ivanov brings deep expertise in customizing grafting techniques, choosing between the patient’s own tissue or modern substitutes to ensure the best clinical and aesthetic outcomes for each individual.
- Focused Pain Management and Comfort: At Precision Periodontal and Implant Center, we know that patient comfort matters. We use advanced methods to protect graft sites, reduce post-op pain, and promote a safe, seamless recovery experience.
Our goal is to reverse damage, prevent further recession, and help you regain confidence in your smile.
Precision Implants
Why Gum Recession Happens
There isn’t one single cause of gum recession—it usually develops from a combination of factors. Common contributors include:
Periodontal Disease
Gum infection that destroys the supporting tissues and bone.
Aggressive Brushing
Brushing too hard or with a stiff-bristled toothbrush can wear away gum tissue.
Genetics
Some people naturally have thinner gum tissue, making them more vulnerable.
Orthodontics or Misalignment
Teeth that don’t fit together properly can place stress on gums.
Grinding or Clenching
Excess pressure on teeth may contribute to gum loss.
Tobacco Use
Smoking or chewing tobacco reduces blood flow and healing ability.
Whatever the cause, gum recession should never be ignored. Early treatment can protect your teeth from further complications.
Gum Disease Treatment in Manhattan Beach
Often, Gum recession is a symptom of underlying gum disease. At Precision Periodontal and Implant Center, we offer comprehensive care for gum disease in Manhattan Beach to eliminate infection, preserve teeth, and support long-term health.
Our approach includes:
- Scaling and Root Planing: Deep cleaning below the gum line to remove plaque and tartar, controlling infection.
- Osseous Surgery: Reshapes bone and reduces pocket depths to encourage gum reattachment.
- Regenerative Surgery: Uses bone grafts and biological materials to rebuild lost bone and support teeth.
- Ongoing Maintenance: Personalized cleaning schedules and monitoring to maintain healthy gums.
By treating gum disease effectively, we help you avoid further gum recession and potential tooth loss.
The Risks of Untreated Gum Recession
Exposed tooth roots are not just a cosmetic concern. Left untreated, gum recession can lead to:
Increased tooth sensitivity to hot, cold, or sweet foods
Higher risk of cavities on the exposed roots
Progressive bone loss around the affected teeth
Loosening and eventual loss of teeth
An uneven smile that impacts appearance and confidence
Treatment is about more than aesthetics—it’s about protecting your long-term oral health.
Why Choose Precision Periodontal and Implant Center in Manhattan Beach?
Manhattan Beach residents trust Precision Periodontal and Implant Center for periodontal care because of our:
- Board-Certified Expertise: Dr. Ivanov is a Diplomate of the American Board of Periodontology with extensive training in gum recession and disease treatment.
- Patient-Focused Care: Every plan is customized to your needs and comfort level.
- Comfort Options: We offer Oral Conscious Sedation and IV Deep Sedation for anxiety-free treatment.
- Collaborative Philosophy: Working closely with your general dentist for cohesive, coordinated care.
Don’t wait for gum recession or gum disease to worsen. For advanced gum recession treatment and gum disease care in Manhattan Beach, call Precision Periodontal and Implant Center at 310-708-3938 to schedule your consultation. Reclaim a healthier, more confident smile today.
