When Bony Growths Get in the Way
For most people, the inside of the mouth feels smooth and consistent. But some patients develop extra bony growths—called tori—along the roof of the mouth (palatal tori), the inside of the lower jaw (mandibular tori), or other areas. While tori aren’t dangerous, they can become a frustrating obstacle in daily life.
Patients often tell us they first notice tori when their dentist has trouble fitting a retainer, denture, or appliance. Others say the bumps cause irritation while eating or make speaking feel awkward. In some cases, the tori grow large enough to interfere with normal function altogether.
At Precision Periodontal and Implant Center, we provide safe, effective tori removal procedures to restore comfort and make future dental treatment possible.
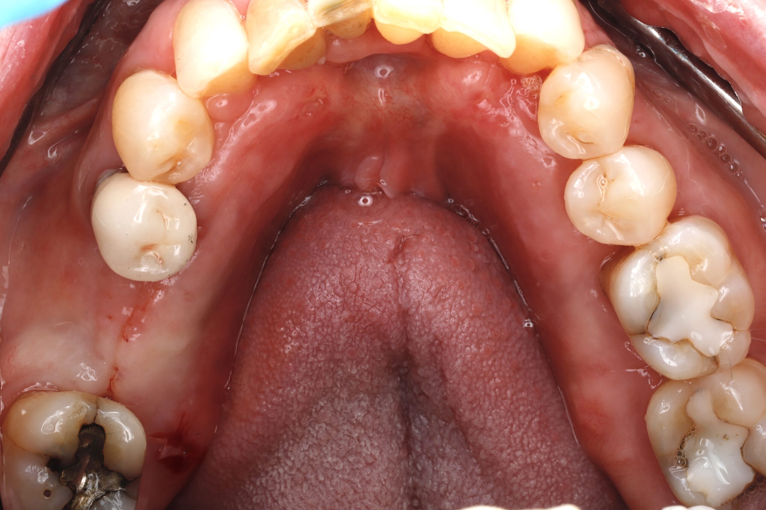
What Are Tori?
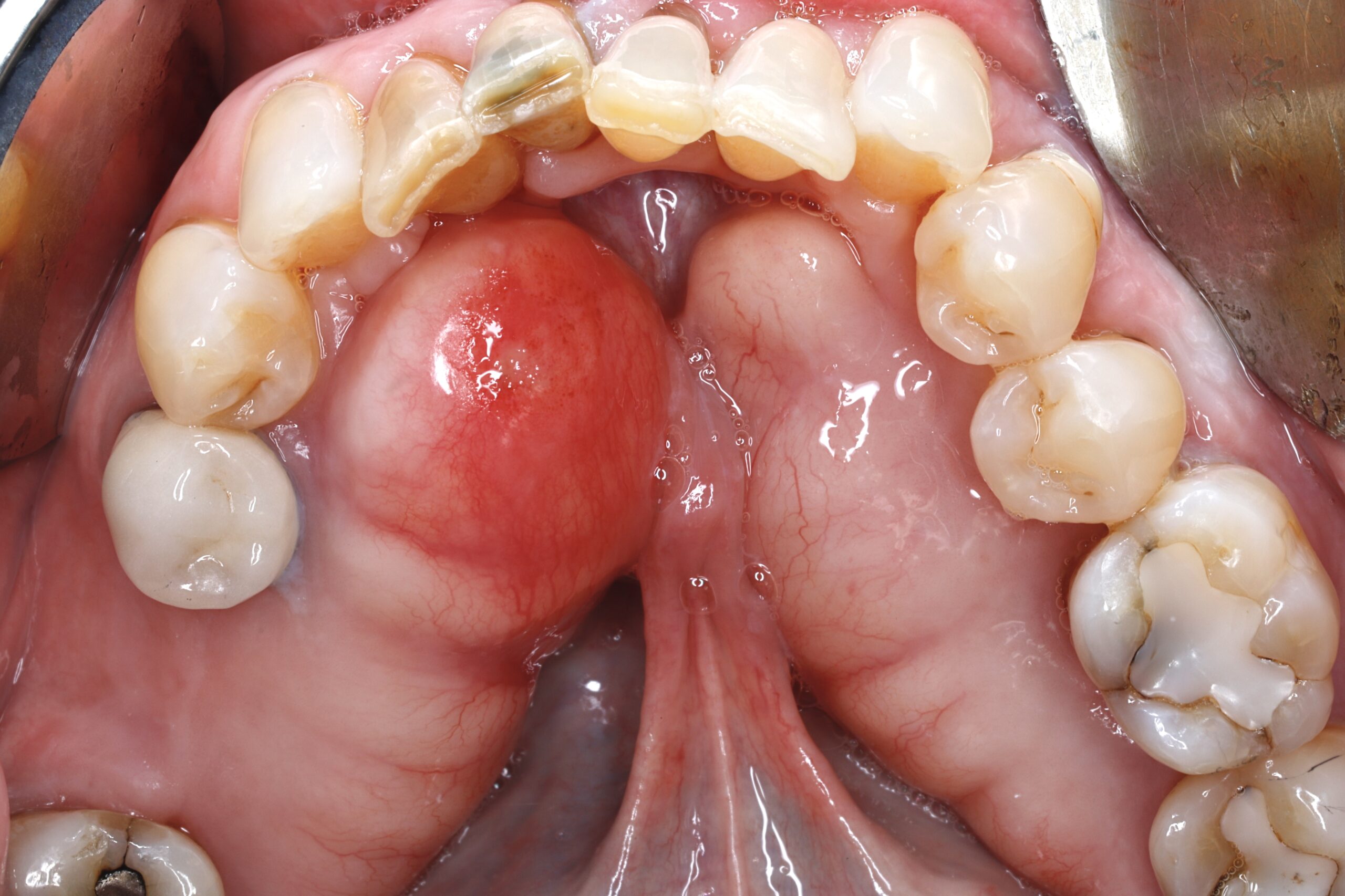
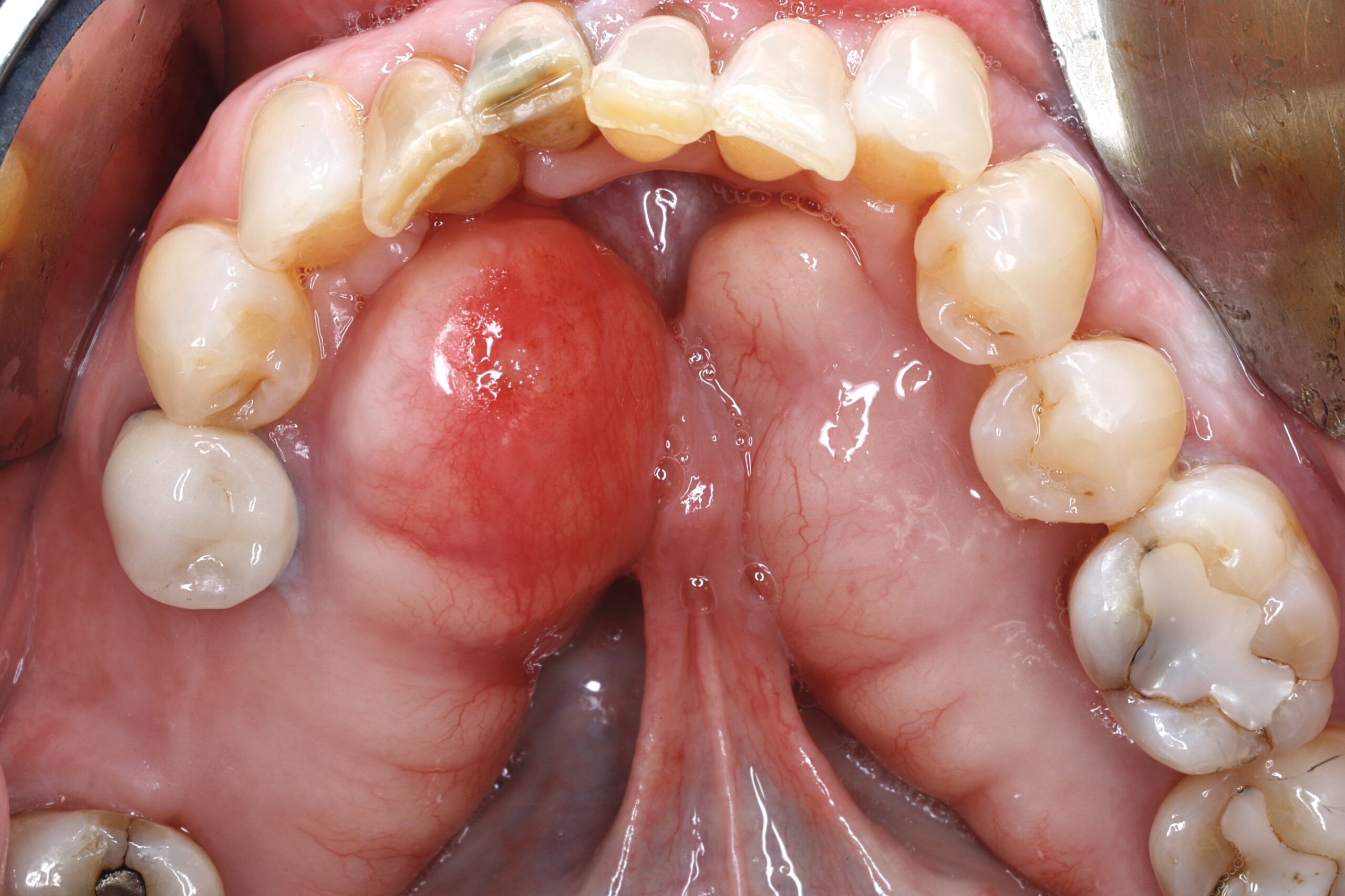
Tori are harmless, noncancerous bone growths that form in the mouth. They can vary in size, shape, and location. Some remain small and unnoticed for years, while others grow large enough to cause problems.
Though they’re not a health threat, they may:
Make it difficult to wear dentures, nightguards, or retainers
Cause irritation from certain foods or biting your tongue/cheek
Affect speech or chewing comfort
Interfere with dental procedures such as implants or bridges
Before
After
If tori are limiting your comfort or preventing treatment, removal is often the best solution.
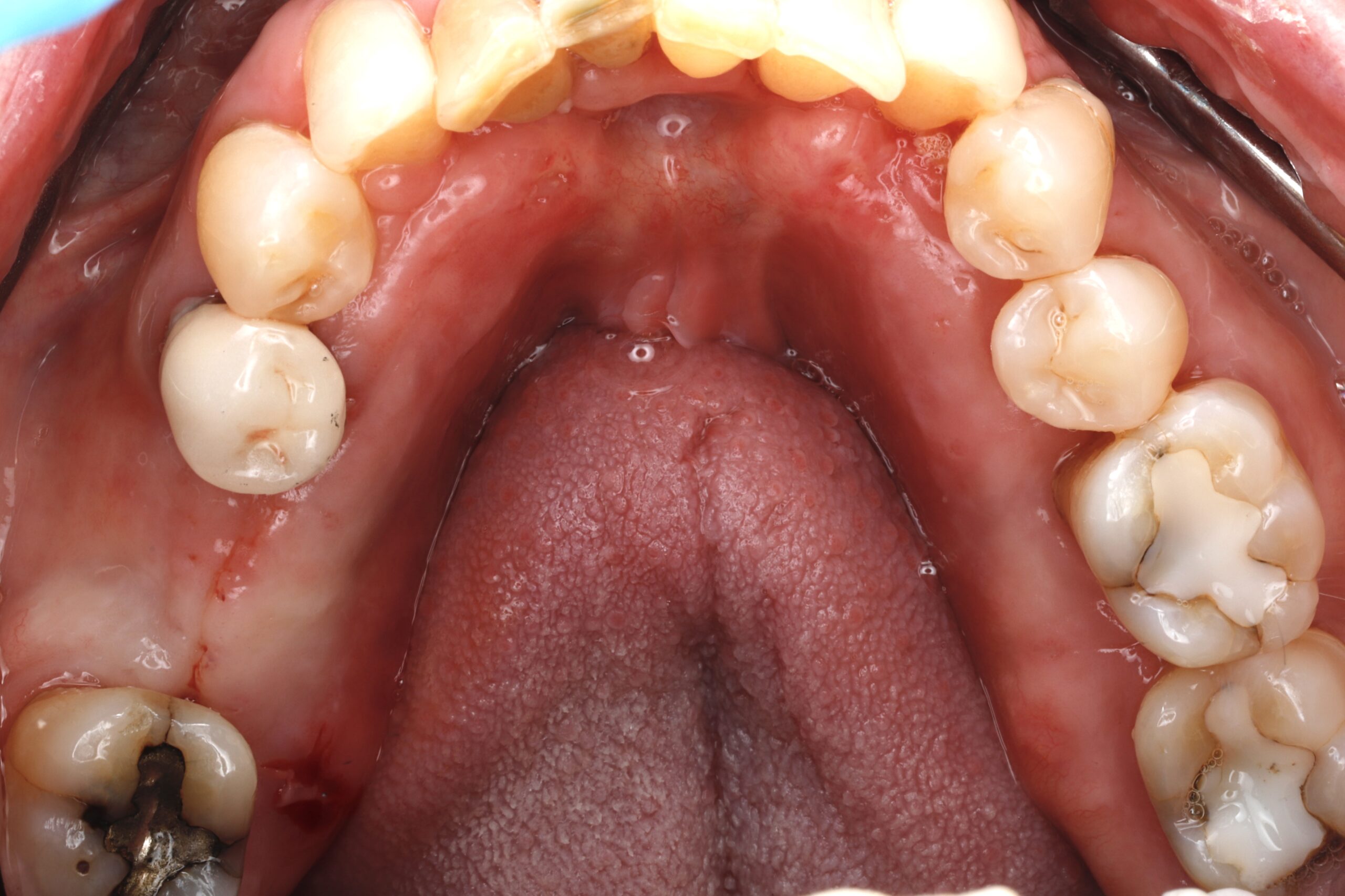
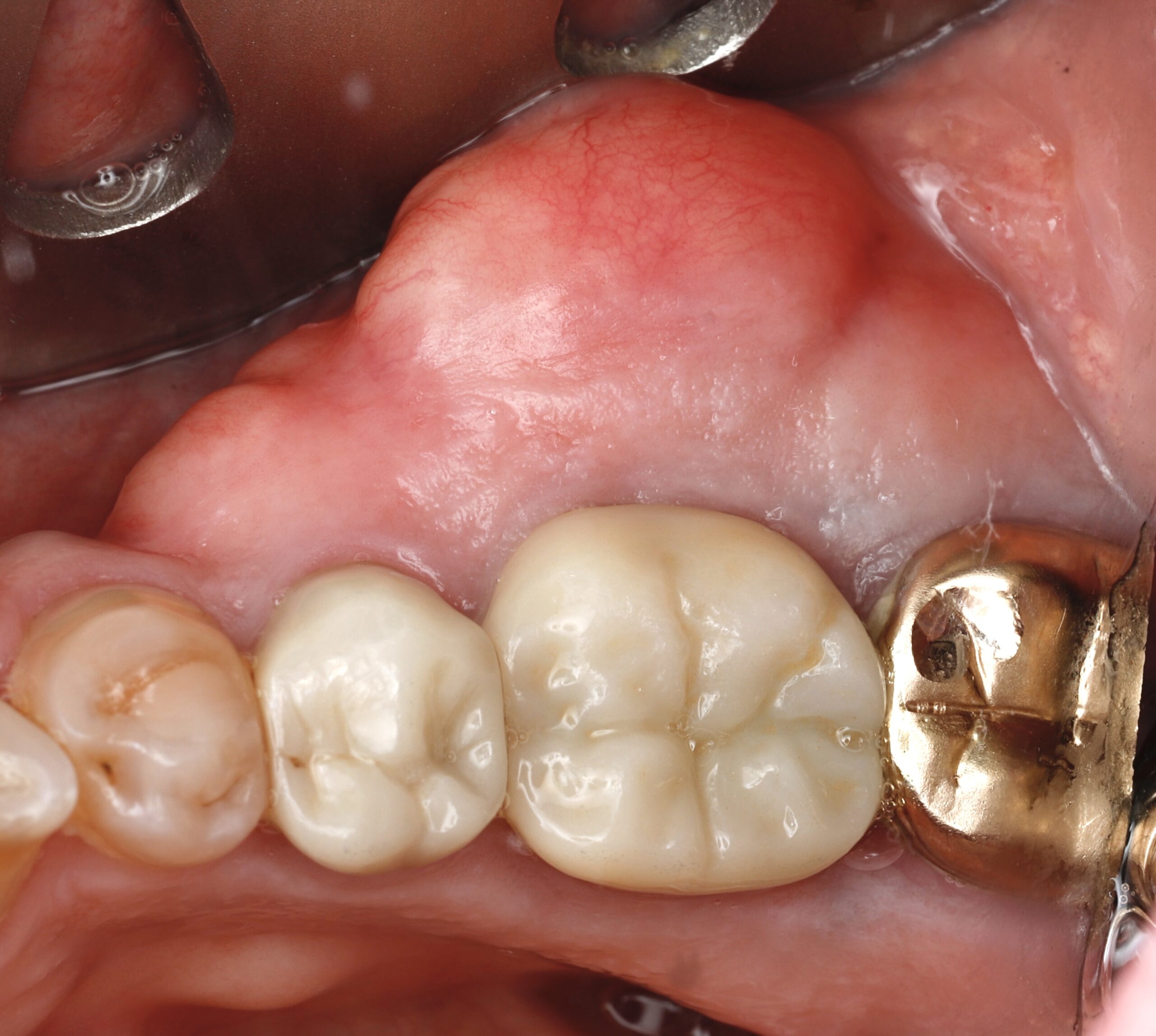
Before
After
The Tori Removal Procedure
Tori removal is a surgical procedure designed to smooth out and remove excess bone. At Precision Periodontal and Implant Center, the process is carefully planned for comfort and precision:

Evaluation and Planning
We use advanced imaging to assess the size and placement of the tori.

Comfort First
Local anesthesia, with sedation if needed, ensures a stress-free experience.

Removal
The extra bone is gently reshaped or removed to create a smooth surface.

Healing
Most patients recover quickly, with only minor soreness in the days following the procedure.
Once healed, patients often find they can eat, speak, and wear dental appliances without the irritation they experienced before.
Why Patients Choose Tori Removal
Greater ease with dentures or other oral appliances
Improved speech and chewing ability
Relief from chronic irritation
Confidence knowing future dental treatments won’t be limited
One patient shared that after struggling with an ill-fitting denture for years, removing the tori finally allowed them to get the stable, comfortable fit they had been missing.
Is Tori Removal Right for You?
Not every case of tori requires removal. If the growths are small and don’t interfere with your daily life, monitoring them may be all that’s needed. But if they affect comfort, limit dental options, or cause ongoing irritation, removal can make a significant difference.
During your consultation at Precision Periodontal and Implant Center, we’ll discuss your concerns, examine the growths, and recommend whether removal is the best path forward.
Taking the Next Step Toward Comfort
You don’t have to live with irritation, difficulty wearing dental appliances, or the frustration of being told treatment isn’t possible because of tori. With safe, effective tori removal, you can enjoy a healthier, more comfortable smile—and open the door to new treatment options.
Call 310-708-3938 today to schedule your appointment at Precision Periodontal and Implant Center and learn how tori removal can improve your comfort and confidence.
