Dental Implants
A Lasting Solution for Missing Teeth
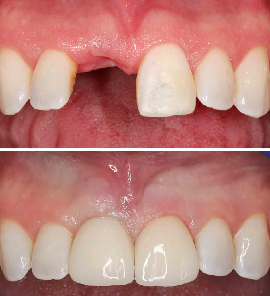
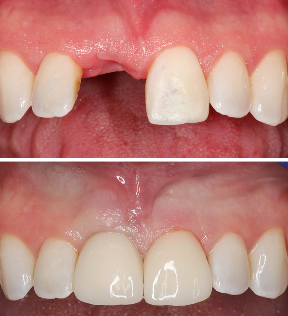
When a tooth is lost, it affects more than your smile. Chewing becomes harder, speech may change, and over time the jawbone beneath the gap begins to shrink. Dentures and bridges can provide temporary fixes, but only dental implants restore both the look and function of natural teeth
Precision Implants
Restoring Smiles with
Expertise and Care
At Precision Periodontal and Implant Center, dental implants are at the core of what we do. Our team specializes in replacing missing teeth with durable, natural-looking implants designed to last for decades. With advanced technology and precision techniques, we restore more than smiles—we restore confidence, comfort, and quality of life.
What Are
Dental Implants?
A dental implant is a small titanium post that is surgically placed into the jawbone to act as an artificial tooth root. Once it fuses with the bone through a process called osseointegration, the implant provides a secure foundation for a custom crown, bridge, or full arch restoration.
The Implant Post
Anchored in the jawbone, providing stability like a natural root.
The Abutment
A connector that links the implant to the restoration.
The Restoration
A crown, bridge, or denture designed to look and function like natural teeth.
Why Choose
Implants?
Unlike removable dentures or fixed bridges, dental implants offer benefits that protect your oral health long-term:
Permanent Stability
No slipping, shifting, or adhesives needed.
Bone Preservation
Implants stimulate the jawbone, preventing deterioration.
Natural Look and Feel
Custom restorations blend seamlessly with your existing teeth.
Improved Function
Eat, laugh, and speak with confidence.
Longevity
The Implant Process
At Precision Periodontal and Implant Center, implant treatment is carefully planned and executed for long-term success.
Here’s what you can expect:

Pre-Op Comprehensive Evaluation
3D imaging and a full exam to assess bone health and plan placement.

Surgical Placement
The titanium post is inserted into the jawbone using precise, minimally invasive techniques.

Healing Period
The implant fuses with the bone over several months, creating a stable foundation.

Restoration
day so you never go without your smile.
Advanced Options
for Every Smile
Single-Tooth
Implants
Single-Tooth Implants
Ideal for replacing individual gaps.
Implant-Supported Bridges
Implant-Supported Bridges
Designed for patients missing multiple teeth.
All-on-X Full
Arch Implants
All-on-X Full Arch Implants
Comprehensive solution for patients missing all teeth in one jaw
Implant
Overdentures
Implant Overdentures
Provides added stability
for removable prosthetics.
Restoring Health
and Confidence
Take the
First Step
Call 310-708-3938 today to schedule an appointment and learn how implants can give you back your smile—and your confidence.
