Soft Tissue Biopsy
Answers for Your Oral Health
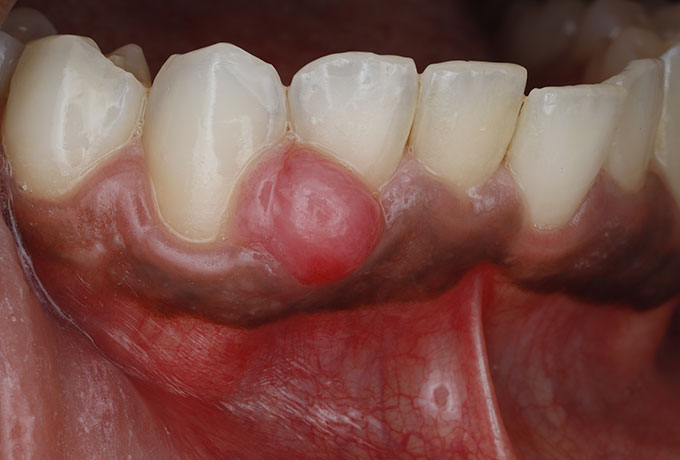
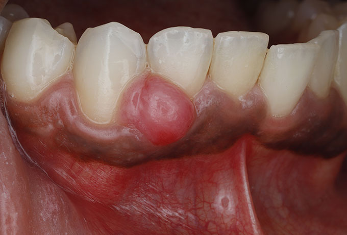
Sometimes, what’s happening in your mouth isn’t obvious at first glance. A small sore that doesn’t heal, a patch of unusual tissue, or even persistent irritation can be easy to dismiss—but they may signal something more serious.
That’s where a soft tissue biopsy comes in. At Precision Periodontal and Implant Center, we perform this simple yet important procedure to diagnose suspicious oral tissue and give you clear answers about your health.
Precision Implants
Why a Biopsy Matters
Your oral health is closely connected to your overall health. Changes in the tissues of your mouth can sometimes point to conditions like:
Oral Cancer
Precancerous Lesions
Chronic Infections
Autoimmune Diseases
Benign (Noncancerous) Growths
While many tissue changes turn out to be harmless, the only way to know for sure is through a biopsy. Acting early gives you peace of mind and, when needed, a chance to begin treatment right away.
What a Soft Tissue Biopsy Involves
A biopsy may sound intimidating, but the procedure is straightforward and usually takes just minutes. At Precision Periodontal and Implant Center, your comfort is always the priority. Here’s what to expect:
Local Anesthesia
The area is numbed so you don’t feel discomfort.
Tissue Sample
A very small piece of tissue is carefully removed from the affected area.
Laboratory Analysis
The sample is sent to a specialized lab, where experts examine it under a microscope.
Clear Results
Once the lab provides a diagnosis, your doctor reviews the findings with you and outlines next steps.
Most patients return to their normal routine the same day, with only minor soreness that fades quickly.
When a Biopsy Is Recommended
A soft tissue biopsy may be suggested if you have:
A sore or ulcer that hasn’t healed within two weeks
Red, white, or mixed patches of tissue
A lump, thickening, or growth inside the mouth
Unexplained bleeding or tenderness
Changes in texture or color of the gums, tongue, or inner cheeks
These signs don’t always mean something serious—but they do mean it’s time to get answers.
Recovery and Aftercare
Because the biopsy is minimally invasive, recovery is usually simple. Mild tenderness can be managed with over-the-counter medication and saltwater rinses. You’ll receive detailed care instructions from Precision Periodontal and Implant Center to keep the area clean and promote healing.
Most importantly, once results are back, you’ll have a clear picture of what’s happening—and peace of mind knowing you’re taking control of your health.
The Benefits of Acting Early
The greatest advantage of a soft tissue biopsy is early detection. If a condition like oral cancer is identified, treatment can begin sooner—when it’s most effective. And if results show that the tissue is benign, you can move forward without worry.
Either way, you gain clarity, and clarity is power.
A Patient-Centered Approach
At Precision Periodontal and Implant Center, we understand that a biopsy can feel like a big step. That’s why we take time to explain the process, answer your questions, and ensure you feel supported from start to finish. Our goal is not just to provide a procedure, but to give you confidence in your care.
Take the
Step Toward Clarity
Uncertainty is often harder than the diagnosis itself. With a soft tissue biopsy, you don’t have to wonder—you can know. Whether it’s ruling out concerns or catching something early, the test provides essential information to guide your health decisions.
Call 310-708-3938 today to schedule your appointment with Precision Periodontal and Implant Center. Together, we’ll make sure you have the answers and support you need for lasting oral health.
