390 N. Pacific Coast Highway Suite 1070
El Segundo, CA 90245
310-708-3938
Home
About
Dental Education Courses
Dr. Ivanov
Referrals
Implants
What Are Dental Implants?
All on X (Full Arch Implants)
Implant Overdentures
Implant Placement
Advanced Bone Grafting
Sinus Lift Procedures
Implant Complication Treatment
Failing Implant Treatment
Periodontics
Gum Recession
Osseous Surgery
Periodontal Disease Treatment
LANAP(Laser Assisted New Attachment Procedure)
Bone Loss Regeneration
Scaling & Root Planing
Crown Lengthening and Gingival Contouring
Frenectomy
Soft Tissue Biopsy
Other Services
Accelerated Ortho (SFOT)
Botox
Sedation Services
Tori Removal
Wisdom Teeth Removal
Gallery
Contact
Request an Appointment
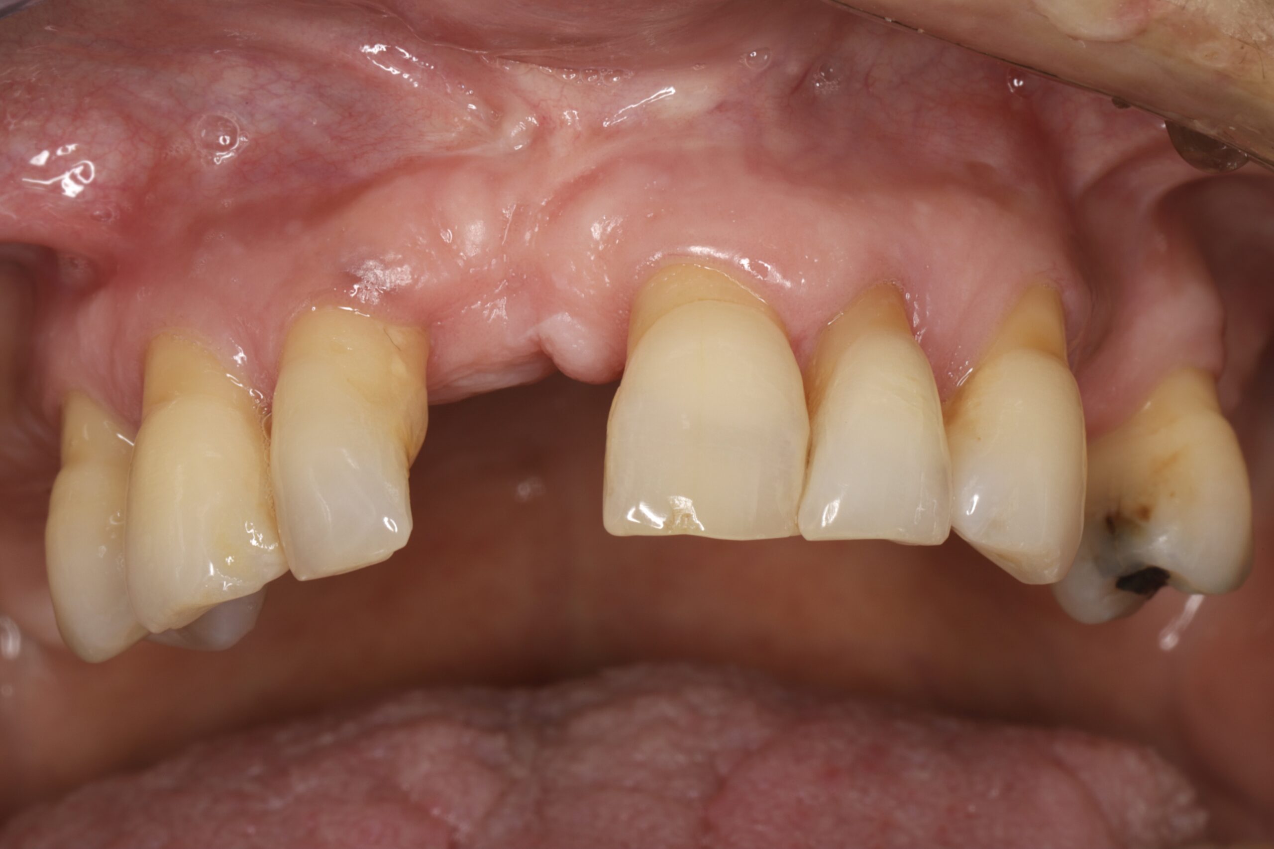
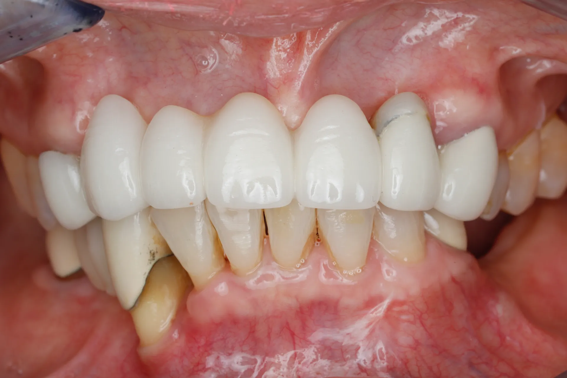
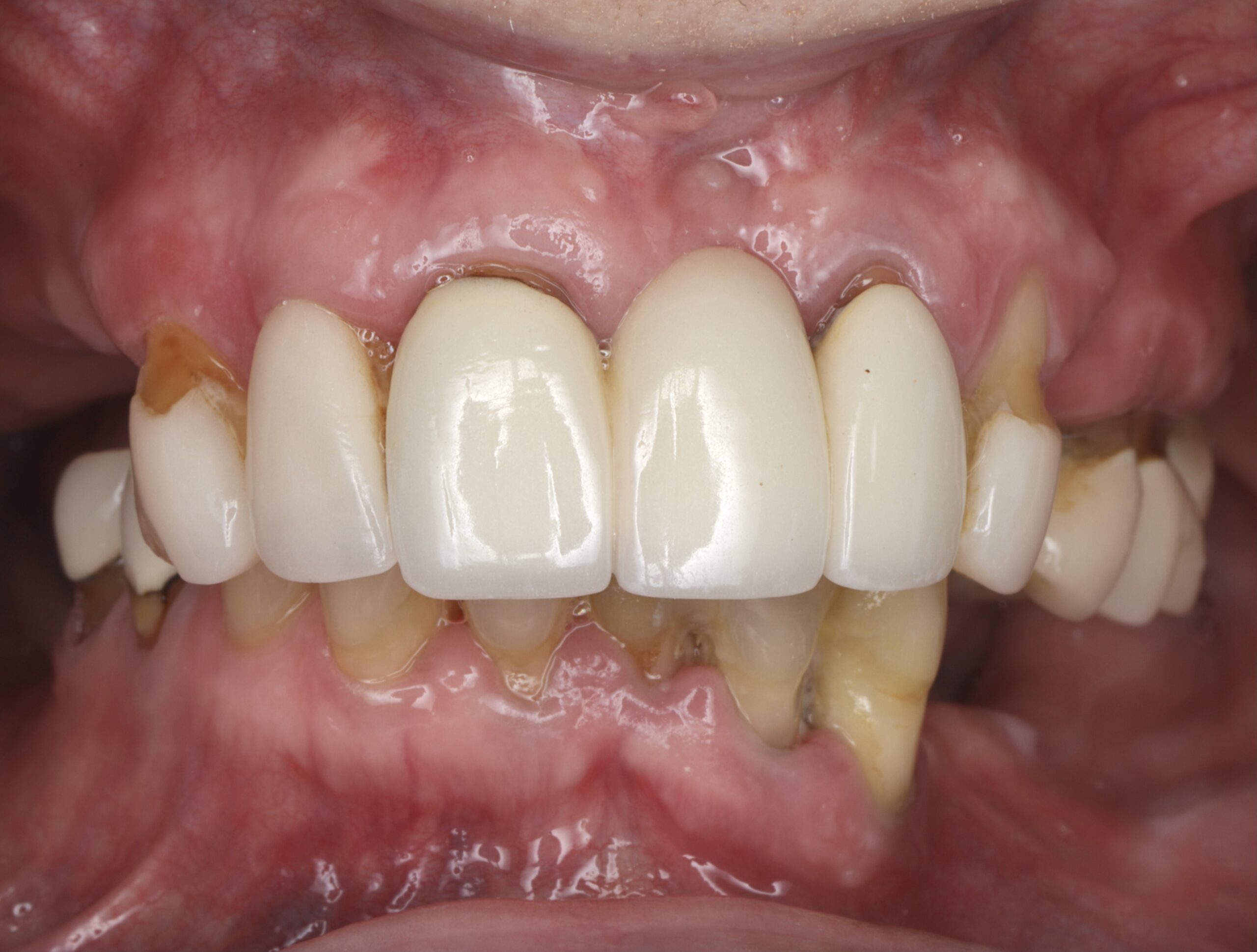
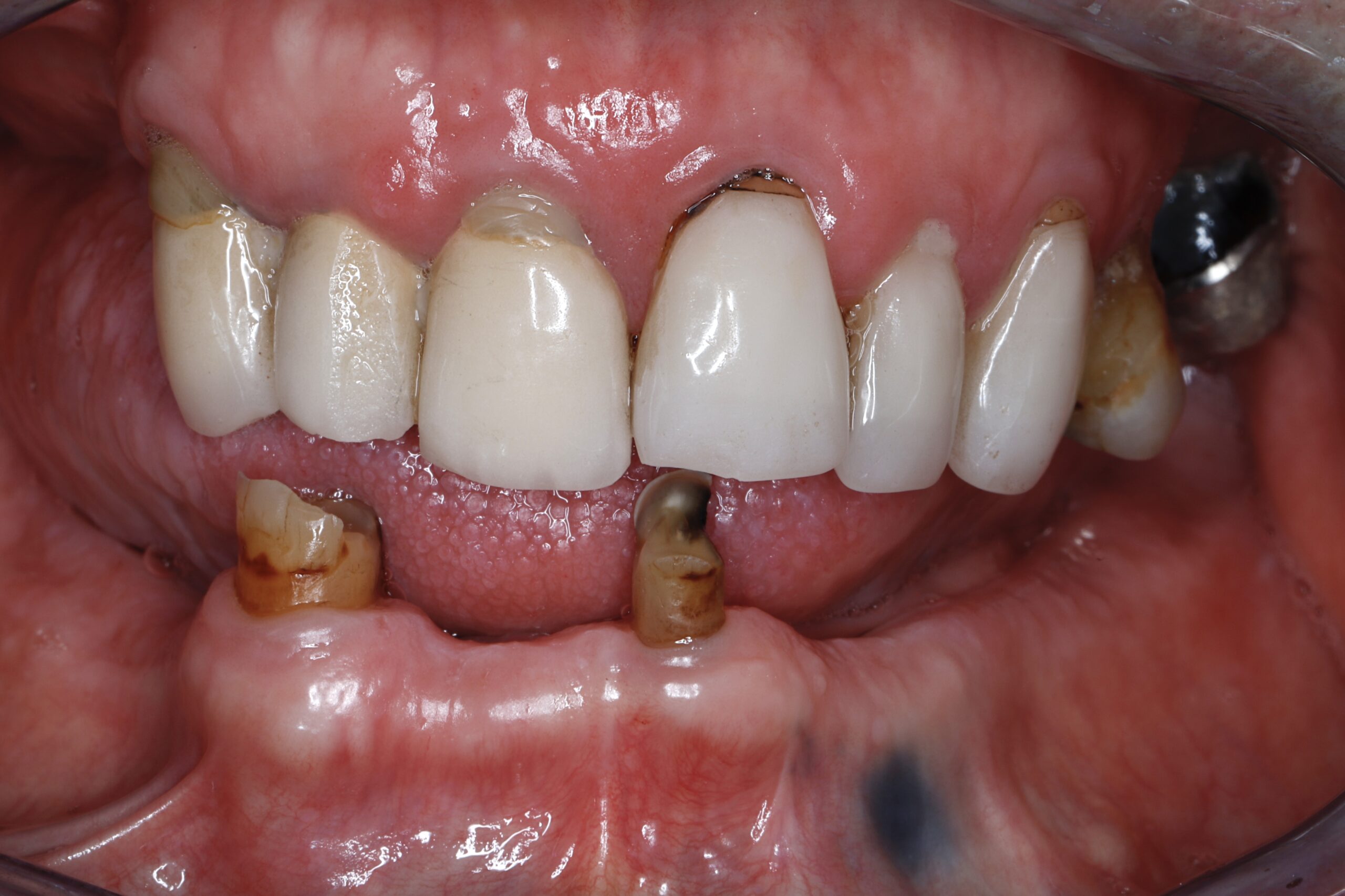
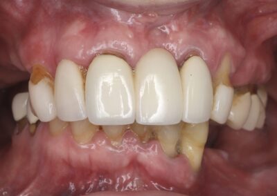
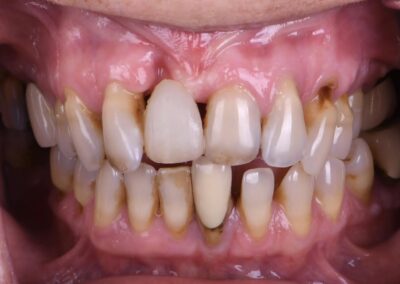
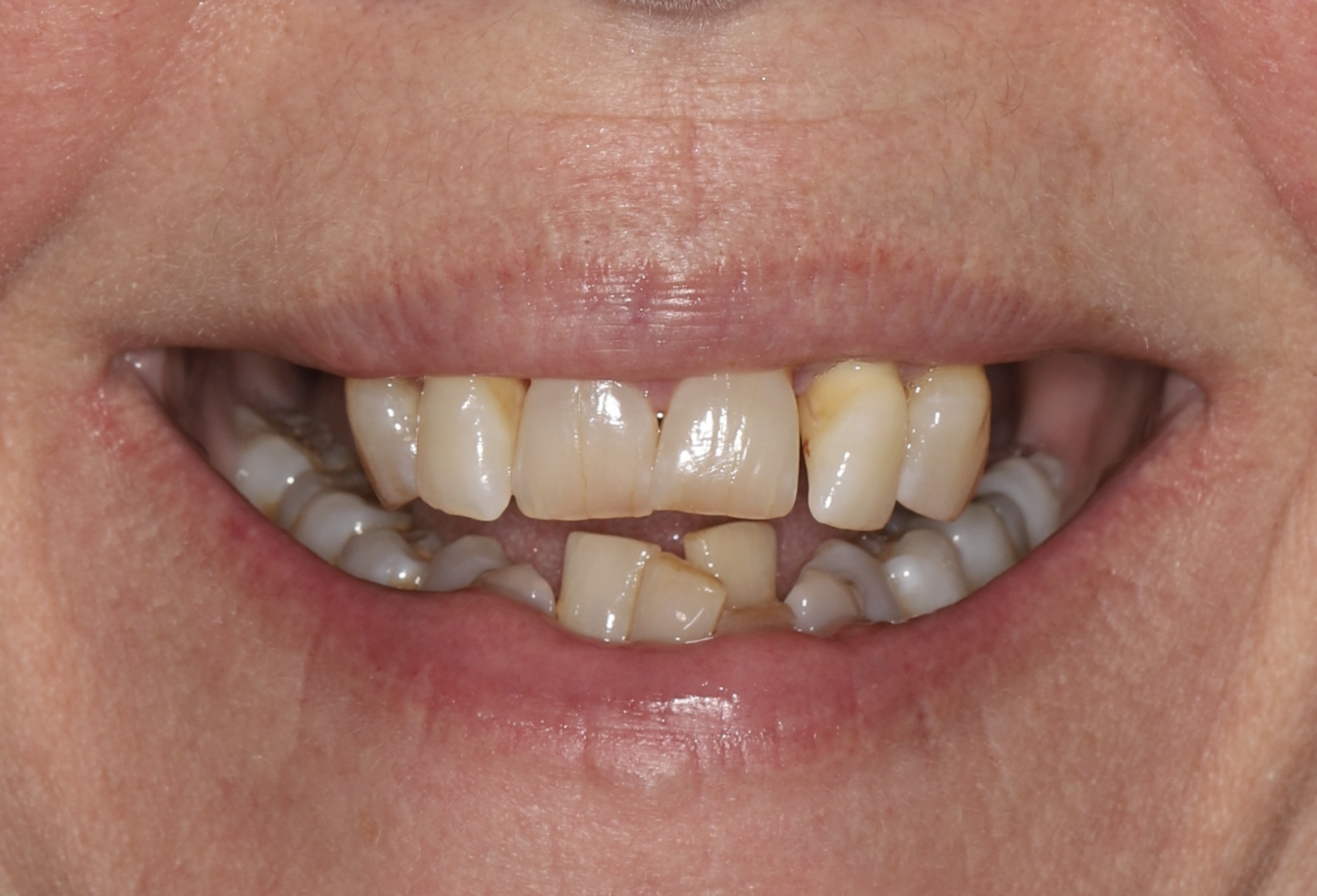
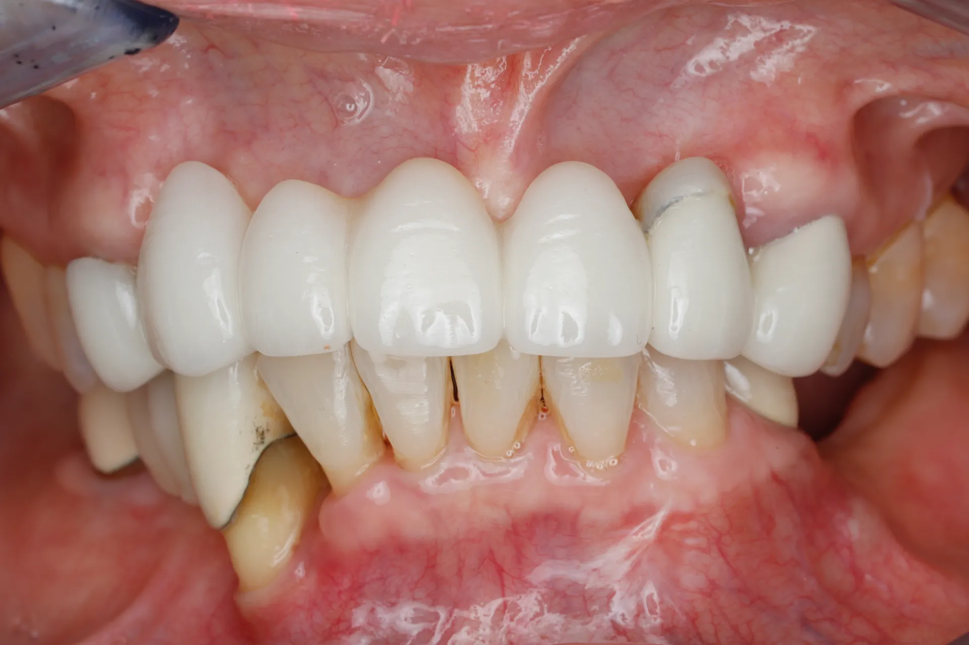
Full Arch All-On-X
Please ensure Javascript is enabled for purposes of
website accessibility
310-708-3938